Дефекты костей черепа
18 октября 2023


18 октября 2023
Дефект кісток черепа характеризується відсутністю ділянки кісткової тканини (разом із твердою мозковою оболонкою або із її збереженням), зумовленою черепно-мозковою травмою або оперативними втручаннями (трепанація черепу), перенесеними з приводу лікування захворювань головного мозку (пухлини головного мозку та кісток черепу, остеомієліт кісток черепа, вогнепальні, уламкові ураження кісток черепа та головного мозку (вогнепальна бойова нейротравма) тощо).
По локалізації кісткового дефекту виділяють лобні, скроневі, тім’яні, потиличні та їх поєднання. За розмірами класифікують на малі (до 10 см кв), середні (до 30 см кв) та великі (30-60 см кв).
Клінічні симптоми, які спостерігаються у пацієнтів із дефектами черепа
Дефект черепа спричиняє дифузний головний біль та локальний головний біль в місці відсутності кістки черепа, які посилюються/змінюються при зміні атмосферного тиску, температурі навколишнього середовища; вибухання вмісту черепної коробки в місці дефекту при кашлі, чханні, фізичному навантаженні, нахилі голови. Пацієнти можуть скаржитися на страх пошкодження мозку через наявний дефект в кістках черепу, появу відчуття неповноцінності, косметичний дефект. Енцефалопатія при дефектах черепа проявляється астено-вегетативним синдромом, до ознак якого належить зниження когнітивних здібностей, порушення сну, пам’яті, уваги, зниження толерантності до фізичних, психоємоційних та інтелектуальних навантажень. У пацієнтів із дефектом кісток черепа може спостерігатися епілептичні напади, порушення з боку психічної сфери.
Діагностика дефекту черепа
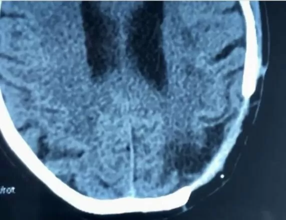
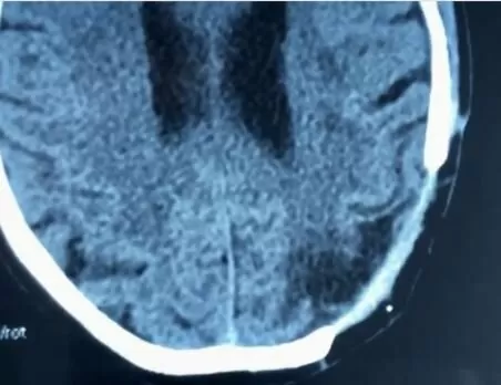
Діагностика дефекту кісток черепа не є складною клінічною задачею, адже до відсутності кістки призводять відомі пацієнту події життя: травми, оперативні втручання. Під час огляду та пальпації голови дефект кісток доступний візуальному огляду. Точний розмір та геометрія дефекту визначається на рентгенограмах кісток черепу.
Лікування дефекту кісток черепа
При дефектах кісток черепа застосовують краніопластику – закриття дефекту оперативним шляхом із застосуванням різних матеріалів (вибір матеріалу залежить від розміру та геометрії дефекту, індивідуальних особливостей у конкретному клінічному випадку), а також при необхідності виконується пластика твердої мозкової оболонки. В сучасній нейрохірургії для краніопластики використовують аллотрансплантант (штучні матеріали – сплави з металів та полімерів). За методикою 3D-моделювання по знятим з черепа пацієнта зліпкам створюється індивідуальний клапоть для закриття кісткового дефекту. Операція триває під загальним наркозом впродовж 2-3 годин, період перебування в клініці під наглядом лікарів – від 3 до 5 діб.
Проводять краніопластику з метою церебропротекції та усунення симптомів, пов’язаних із головним болем та болем в місці дефекту, лікуванню посттравматичної епілепсії, усуненню косметичного дефекту та психоемоційних розладів.
Протипоказаннями до краніопластики є вибухання (поренцефалія) мозку через дефект кісток склепіння черепу, наявність запальних процесів на рубці шкіри голови або факт запальних ускладнень в місці травми голови в анамнестичному періоді до 1 року.
Оперативні втручання із закриття дефектів кісток черепа в клініці «Оберіг» виконує провідний нейрохірург із 26-річним стажем, д. мед.н., заслужений лікар України Данчин Андрій Олександрович
Телефонуйте: 044 521 30 03 або записуйтесь на консультацію на сайті: https://my.oberig.ua/ua/appointment/