Клинический случай раннего обнаружения рака молочной железы
7 декабря 2021
7 декабря 2021
Женщина, 58 лет, жительница одного из областных центров Украины, работает в должности экономиста производственного предприятия. Обратилась в клинику «Оберіг» за консультацией к врачу-онкомамологу Оксане Васильевне Шулиге-Недайхлебовой по поводу образования в правой молочной железе, обнаруженного при самообследовании. В семейном анамнезе — рак молочной железы у сестры. Пациентке проведено трукат-биопсию (взятие образца ткани толстой иглой), гистологическое и иммуногистохимическое исследование, компьютерную томографию 3-х отделов (грудной, брюшной полости и малой лоханки) с внутривенным контрастированием. Патологические изменения на КТ в других органах и системах не выявлены.


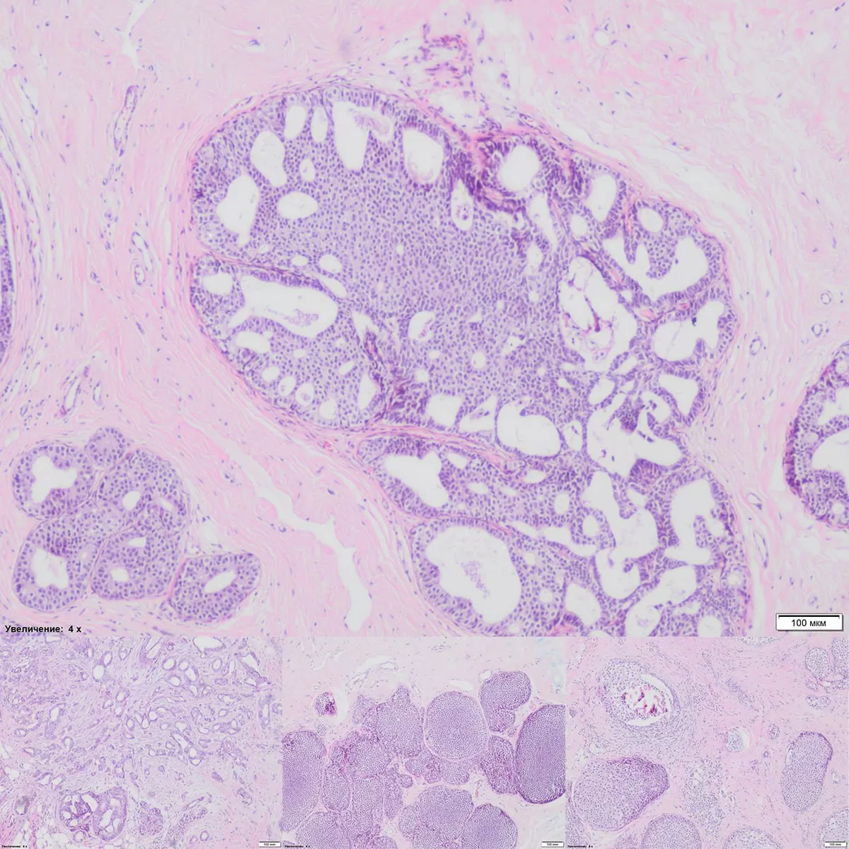
Через несколько дней получены результаты гистологического и иммуногистохимического исследования биоптата: Умеренно дифференцированная G2 инвазивная неспецифицированная карцинома правой МЗ cT1 cN0 MОER+++, PR+++, HER-2/neu+; Ки-67 – до 15%. Мутации исключены.
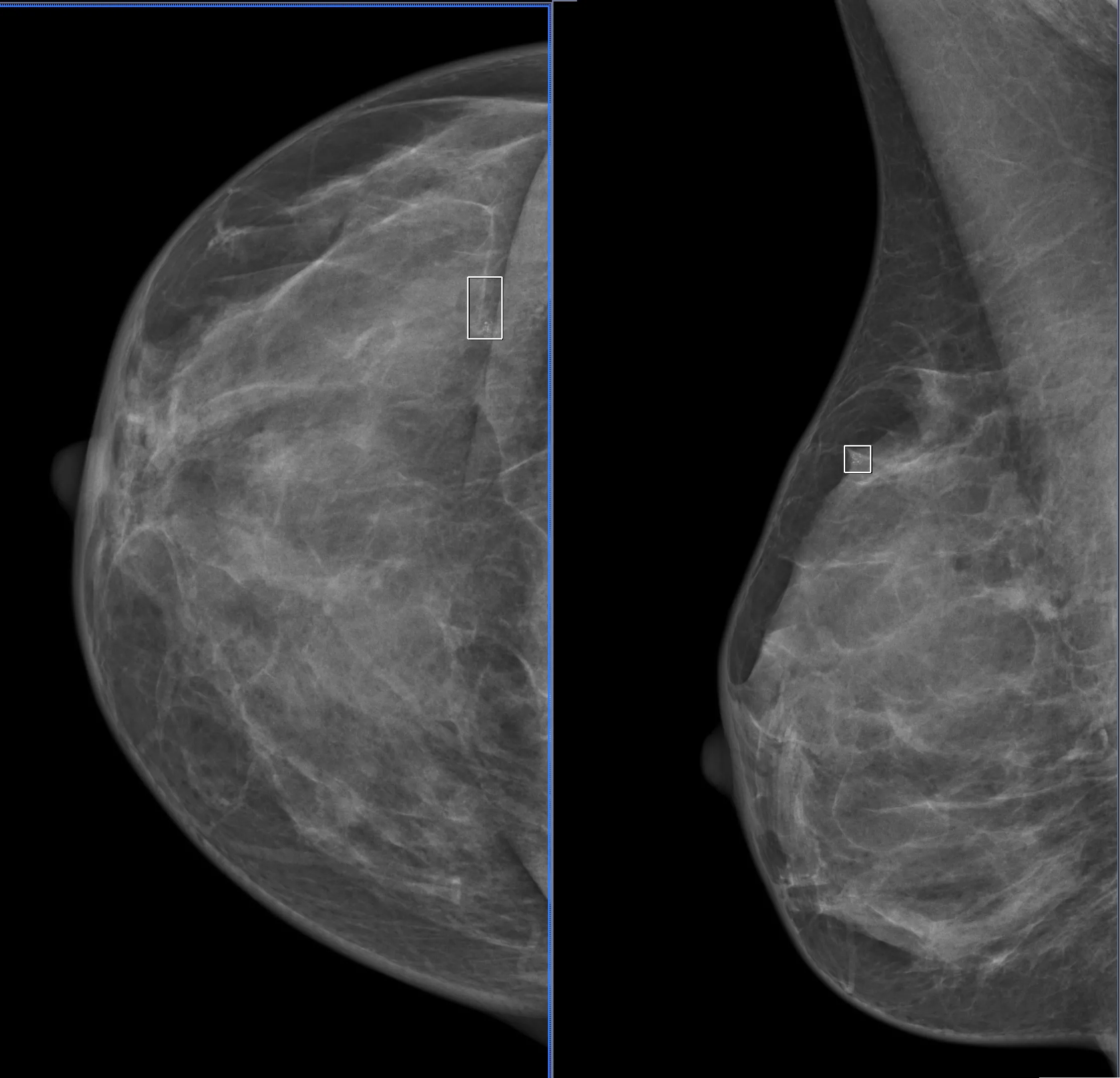
Ранее, во времена радикального, но не онкопластического подхода при лечении рака молочной железы, в таких случаях выполняли мастэктомию. Этой пациентке врач-маммолог, онкопластический хирург Оксана Васильевна Шулига-Недайхлебова первым этапом лечения предложила плановое оперативное вмешательство в объеме онкопластической лампэктомии правой МЗ с интраоперационным гистологическим исследованием чистоты краев резекции, биопсией сторожевых лимфоузлов. Учитывая специфичность образования, на предоперационном этапе breast-радиологом была установлена метка-локалайзер (фото) в участок микрокальцинатов под контролем маммографии.

Интраоперационно был выполнен рентгенконтроль удаленного сектора МЗ. Рентгенография интраоперационного материала установила, что патологически измененная ткань полностью удалена. Но в целях двойного и надежного контроля материал также отправлен на срочное (экспресс) морфологическое исследование чистоты краев резекции после цветовой маркировки. В заключении интраоперационного гистологического исследования рентгенологически данные радикального удаления опухоли подтверждены. Проведено дополнительное иссечение краев резекции и отправлено на экспресс морфологическое исследование – пока не получен результат чистых краев резекции дважды.

Финально маммографические размеры опухоли – 3 мм, гистологические – 6 мм. Это первая, ранняя стадия, рак in situ, промежуточной степени злокачественности, тип ER+++, PR+++, Her-2/neu+, который имеет хороший прогноз дальнейшей жизни пациентки. Индекс Ki-67 низкий, что также, как биомаркер пролиферации, подтверждает надежду на выздоровление от рака МЗ.
В течение следующих 5 лет женщине, согласно протоколам NCCN, показана гормонотерапия с регулярным маммографическим контролем.

Тщательное обследование, постановка метки-локалайзера, двойной контроль чистоты краев резекции (рентгенконтроль и гистологические интраоперационные экспресс-исследования) позволяют выполнить лампэктомию вместо мастэктомии и сохранить женщине естественную красоту груди и качество дальнейшей жизни. А раннее выявление новообразования при самообследовании не дать болезни развиться до более угрожающего состояния.
Егорова Ольга Алексеевна, врач breast-радиолог,
Шулига-Недайхлебова Оксана, врач-маммолог, эксперт по эстетической маммопластике, кандидат медицинских наук, руководитель маммологического центра универсальной клиники «Оберіг».