Статьи - Страница 15

Статьи
Статьи

Аневризмы артерий головного мозга

Раздел: Статьи

Статьи
Подробнее
Статьи

Арахноидальные кисты прозрачной перепонки головного мозга

Раздел: Статьи

Статьи
Подробнее
Статьи

Арахноидальные ретроцеребелярные кисты головного мозга

Раздел: Статьи

Статьи
Подробнее
Статьи

Менингиома - симптомы и лечение

Раздел: Статьи

Статьи
Подробнее
Статьи

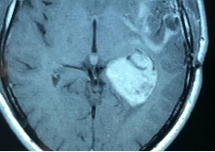
Лечение астроцитомы

Раздел: Статьи

Статьи
Подробнее
Статьи

Диагностика опухолей головного мозга

Раздел: Статьи

Статьи
Подробнее

Запись на консультацию