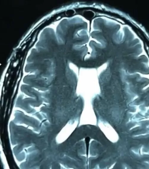
Arachnoid cysts of the transparent membrane of the brain
4 October 2023


4 October 2023
Arachnoid cysts of the transparent membrane of the brain – this is a pathological benign volume formation which
represents splitting of the transparent membrane with compression of both lateral ventricles of the brain.
Arachnoid cysts of the transparent membrane of the brain are a congenital feature of the development of the ventricular system
of the brain and in small sizes do not have clinical manifestations, while the formation of large sizes
disrupt fluid dynamics and signal general cerebral symptoms: periodic or
constant headache, nausea, dizziness, general weakness, etc.
MRI is a verification method for diagnosing arachnoid cysts of the transparent membrane of the brain
and/or CT scan of the brain.
Complications of arachnoid cysts of the transparent membrane of the brain
Arachnoid cysts of the transparent membrane can cause the syndrome of "slit-shaped ventricles": lateral
the ventricles are sharply thinned, at the same time the roof of the third ventricle is deformed. Some patients with
with arachnoid cysts of the transparent membrane of the brain, they complain of a feeling of "tides", which is
a sign of vegetative disorders.
Treatment tactics involve dynamic observation in the absence of symptoms, and in their presence –
neurosurgical endoscopic intervention, the purpose of which is to connect the cavity of the arachnoid cyst with
lateral ventricles. This technique is characterized by low trauma, low frequency
complications and a better course of the postoperative period.
Prognosis with timely application for specialized neurosurgical assistance is favorable.