Article

Article
Article

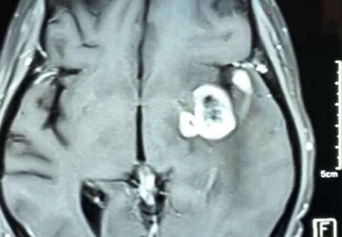
Cerebral ependymomas

Section: Article

Article
Read more
Article

Herniated discs of the thoracic spine

Section: Article

Article
Read more
Article

Herniated discs of the cervical spine

Section: Article

Article
Read more
Article

Lumbar disc herniations

Section: Article

Article
Read more
Article

Brain gliomas

Section: Article

Article
Read more
Article

Extramedullary benign tumors of the spine and spinal cord

Section: Article

Article
Read more

Appointment for consultation