Article

Article
Article

Section: Article

Article
Read more
Article

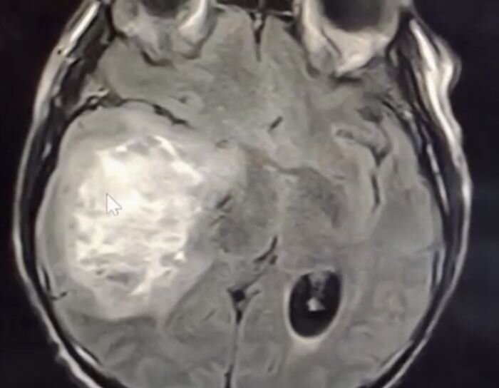
Features of CT and MRI imaging in astrocytomas

Section: Article

Article
Read more
Article

Astrocytomas of 1 — 4 degrees of malignancy

Section: Article

Article
Read more
Article

Section: Article

Article
Read more
Article

Section: Article

Article
Read more
Article

Middle-stale symptoms of astrocytoma

Section: Article

Article
Read more

Appointment for consultation