Гідроцефалія
11 жовтня 2023
11 жовтня 2023
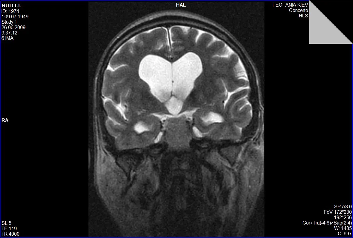
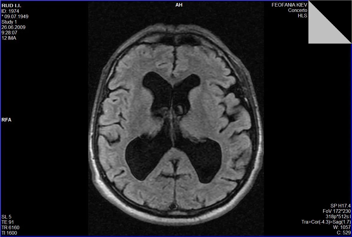
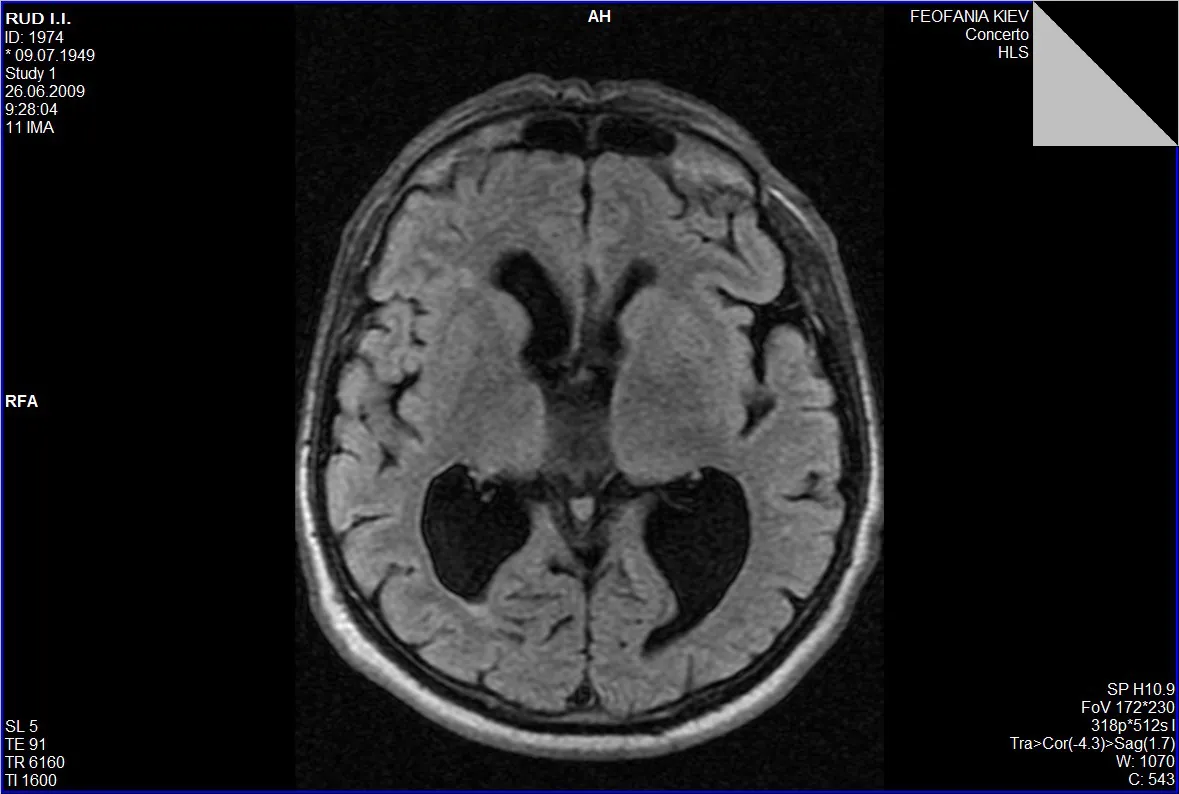
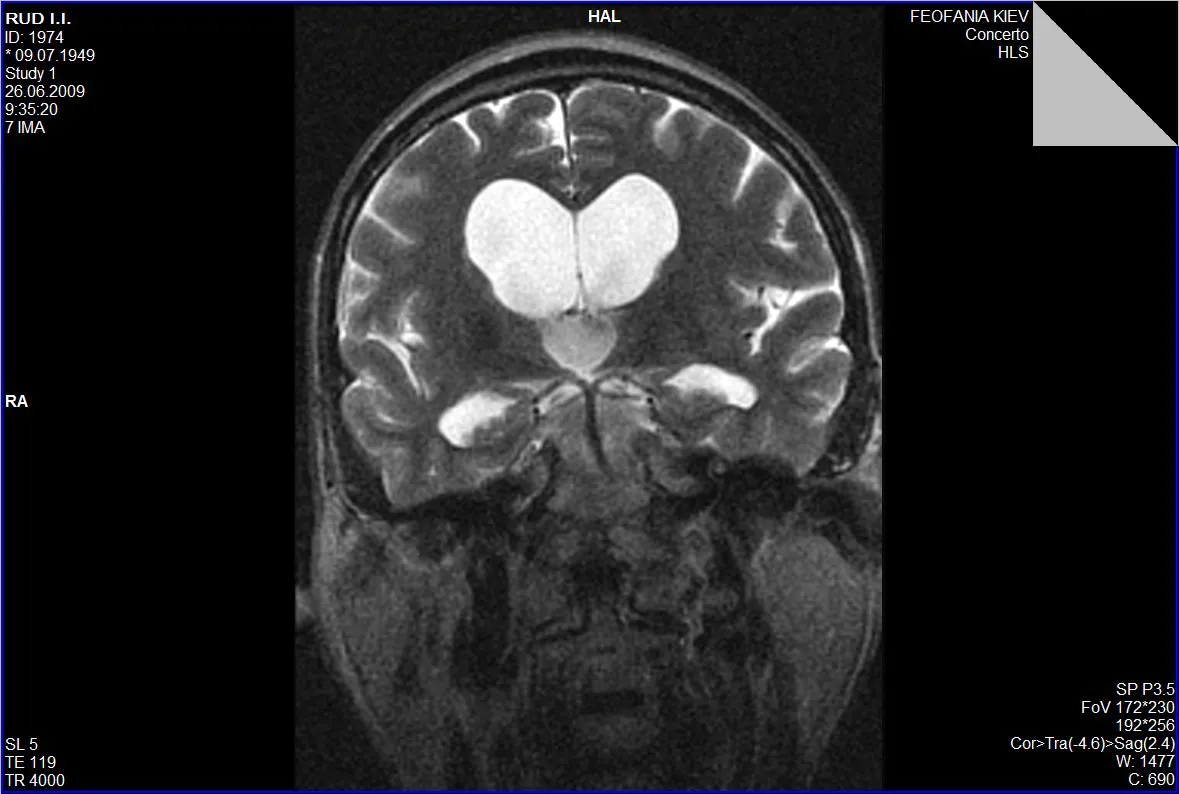
Гідроцефалія, або водянка головного мозку, — це патологічний стан, який характеризується накопиченням цереброспінальної рідини (ліквору) у шлуночках мозку та міжоболонкових просторах.
За патогенезом гідроцефалію розрізняють двох видів: окклюзійна гідроцефалія (коли є перешкода всмоктування ліквору у кровоносну систему мозку від місця її секреції у шлуночках до місця її всмоктування – у субарахноїдальних системах/субарахноїдальному просторі) та арезорбтивна гідроцефалія (у разі, коли порушений сам процес абсорбції ліквору).
Причини гідроцефалії різноманітні: вроджені вади розвитку головного мозку (мальформації Кіарі 1-го та 2-го типів, миєломенингоцеле, первинний стеноз водопроводу головного мозку, мальформація Денді- Уокера (атрезія отворів Люшка та Мажанді); набуті гідроцефалії інфекційного генезу (після перенесених менінгіту, паразитарних захворювань (наприклад, цистицеркоз); гідроцефалія внаслідок крововиливів у головний мозок (інсульти, розриви аневризм, внутрішньошлуночкові крововиливи тощо); при непухлинних та пухлинних захворюваннях головного мозку, нейросаркоідозі; гідроцефалії, пов’язані із спинальними пухлинами.

Запідозрити гідроцефалію можна на підставі виявлення скарг на головний біль, запаморочення, нудоту, порушення зору, порушення координації руху кінцівок, зниження пам’яті, уваги та інших когнітивних здатностей, порушення функції тазових органів (нетримання сечі). 
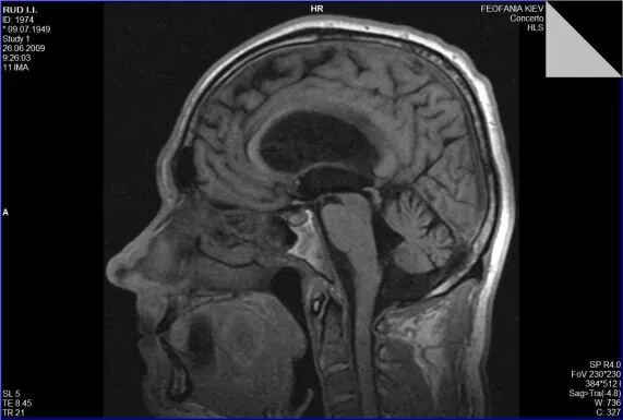
Звернутися з метою обстеження та верифікації діагнозу гідроцефалії із наступним нейрохірургічним втручанням ви можете Центрі Нейрохірургії «Оберіг». До переліку обстежень входить стандартний лабораторний пакет загальноклінічних аналізів та МРТ головного мозку.

Основним методом нейрохірургічного лікування є шунтування шлуночків мозку, однак в Центрі нейрохірургії впроваджена авторська методика керівника Центру Андрія Данчина, яка передбачає мікрохірургічне ендоскопічне втручання із формуванням отворів у стінках шлуночків для безперешкодного лікворообігу, що успішно використовується вже понад десятиліття та позбавляє пацієнта від необхідності регулярних операцій по заміні шунтів.

